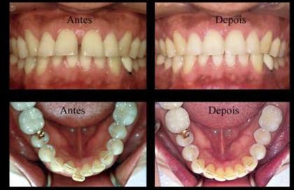
APARELHO METÁLICO

São os brackets mais usados em odontologia, feitos de aço inoxidável e muito resistentes. Nós utilizamos os mais confortáveis, eficientes e de tecnologia avançada. Sendo possível personalizar o seu aparelho com elásticos coloridos trocando as cores em cada consulta.

A Clínica

A Oral Design Taguatinga é a clínica referência em Odontologia estética no Centro Oeste. A clínica foi planejada para proporcionar o maior conforto e comodidade aos nossos clientes. A Oral Design Odontologia Especializada é um clínica moderna reconhecida pela atenção e qualidade com que atende a seus clientes, aliada à experiência e competência dos profissionais que compõem sua equipe.

Redes Sociais
Localização e Contato
  • Taguatinga Norte QNA 54 Ed. Iris Terreo - Taguatinga, Brasília - DF, 72110-540
  • E-mail: danilomrp@hotmail.com
  • Fixo:(61) 3563-2164 
  • WhatsApp:  (61) 98106-6928