RESTAURAÇÕES ESTÉTICAS: ONLAY E INLAY

O que existe em mais moderno em termos de restaurações nos dia de hoje são as resinas compostas, que são resinas impregnadas com partículas cerâmicas que através de procedimentos adesivos são posicionadas nos dentes restaurando a estética e função. As resinas compostas foram criadas como uma alternativa estética para substituir restaurações metálicas como o amálgama de prata. Elas possuem cor idêntica as dos dentes naturais sendo uma alternativa estética para restaurá-los e ainda conferem resistência e durabilidade.

Vantagens:
– A ação adesiva das resinas muitas vezes protege o dente natural contra fraturas.
– São de cor idêntica aos dentes naturais.
– Geralmente precisa-se de apenas 1 consulta.
– Pouca sensibilidade após terminada a restauração, diferente de restaurações de amálgama.
– Menor desgaste do dente para restaurar.

Desvantagens:
– Procedimento mais demorado do que nas restaurações metálicas.
– Maior custo do que restaurações de amálgama.

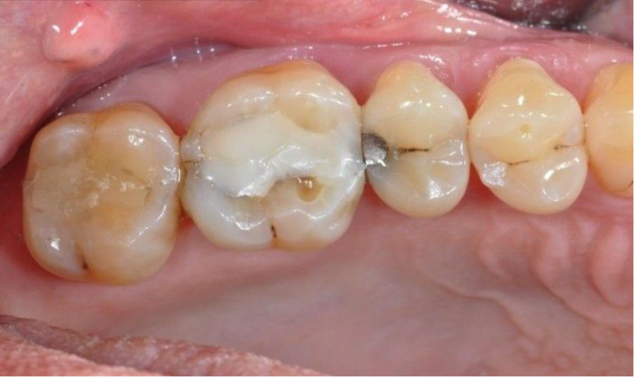
Para restaurar superfícies dentárias mais extensas ao invés de resina composta ou coroas protéticas muitas vezes o profissional indicará restaurações parciais como onlay e inlay.

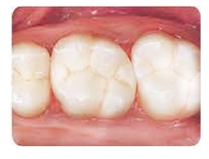
As onlays e Inlays podem ser de resina composta ou cerâmica. As inlays são similares a uma restauração com resina composta tradicional sendo cimentada no dente natural. As onlays são indicadas para reconstruções maiores, pois envolvem cúspides dos dentes, sendo mais conservadoras do que uma coroa total protética. Ambas as modalidades necessitam de duas consultas para o término do procedimento.

Vantagens:
– Altamente estético
– Sem a presença de metal
– Durabilidade
– Resistente após o procedimento adesivo no dente.

Desvantagens:
– Custo mais elevado do que resinas compostas
– Necessita 2 consultas.

ANTES  / DEPOIS

ANTES
DEPOIS
A Clínica

A Oral Design Taguatinga é a clínica referência em Odontologia estética no Centro Oeste. A clínica foi planejada para proporcionar o maior conforto e comodidade aos nossos clientes. A Oral Design Odontologia Especializada é um clínica moderna reconhecida pela atenção e qualidade com que atende a seus clientes, aliada à experiência e competência dos profissionais que compõem sua equipe.

Redes Sociais
Localização e Contato
  • Taguatinga Norte QNA 54 Ed. Iris Terreo - Taguatinga, Brasília - DF, 72110-540
  • E-mail: danilomrp@hotmail.com
  • Fixo:(61) 3563-2164 
  • WhatsApp:  (61) 98106-6928